什么是贴面?
发布时间:2013-10-18 作者: 来源:湘雅口腔医院 浏览次数:
什么是贴面?
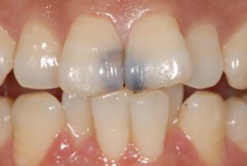
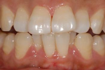
贴面修复是在少磨牙或不磨牙的情况下,将牙齿唇侧(朝向外面的那一侧)表面磨除一层后用牙科专用材料重塑牙齿的外形和颜色的方法。适合于牙齿少量缺损、着色牙、变色牙、牙间隙过大、过小牙和畸形牙等。
1)瓷贴面
瓷贴面修复方法是通过将牙齿唇侧表面均匀地磨除一层,做好牙模,然后用牙科专用瓷性材料真空压缩烧制好以后,粘贴在牙齿上。瓷贴面的优点很多:可以重塑牙齿外形和色泽,精确地控制牙齿颜色指标,瓷贴面透光性强,因此美容效果很好,看起来非常自然,可达到近乎完美的效果,耐磨性与牙齿相近;在能够达到自然美观的瓷修复技术里磨牙最少,制作精良的瓷贴面对牙龈刺激很小,颜色稳定,生物相容性好。

2)树脂贴面
树脂贴面是将高分子复合树脂粘固在磨除的牙齿表面上,细心地雕刻成理想的牙齿形态。由于树脂具有天然牙色,可以有效地遮盖住变色牙牙齿颜色,取得美观的牙齿颜色。纳米树脂品质容易塑形,通过牙科医生的反复雕刻,能够达到理想的牙齿形态。树脂贴面操作时间短,可以一次完成。在贴面修复中价格是最低廉的。树脂贴面因受温度等因素影响会发生树脂材料老化问题,贴面可能变脆、变色或脱落,使用时间不太长,一般5年左右需要重新治疗。因此平时要精心保护,以延长使用年限。应少食浓茶、咖啡等易染色的食物,特别注意不要食啃硬物以防折裂脱落。
