一、基本情况
taptap放射科自成立以来一直承担口腔颌面影像诊断学的临床医疗、教学、科研任务,具有雄厚的技术力量和先进的医疗水平。现拥有一支专业技术强、职业素养高的医疗队伍。工作人员5名:副教授1名,副主治技师1名、主治医师1名,医师1名,技师1名。
业务范围
常规开展:数字化根尖片/横断牙合片、数字化口腔曲面体层片、头影测量侧位/正位片、手腕骨片、颅颌面CBCT、牙齿CBCT的检查以及涎腺造影、窦道 瘘管造影。
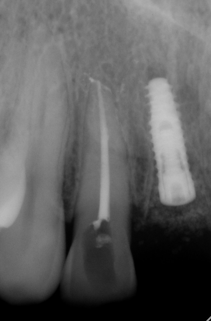
数字化根尖片

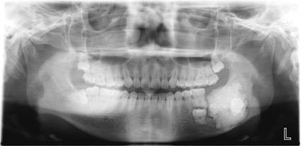
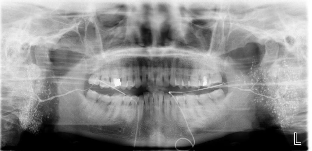
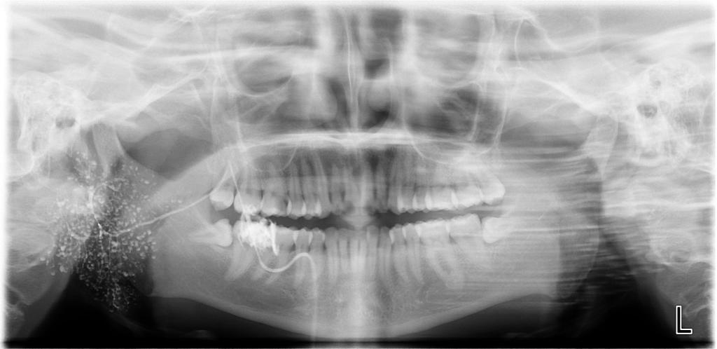
数字化口腔曲面体层片


头影测量侧位/正位片

手腕骨片

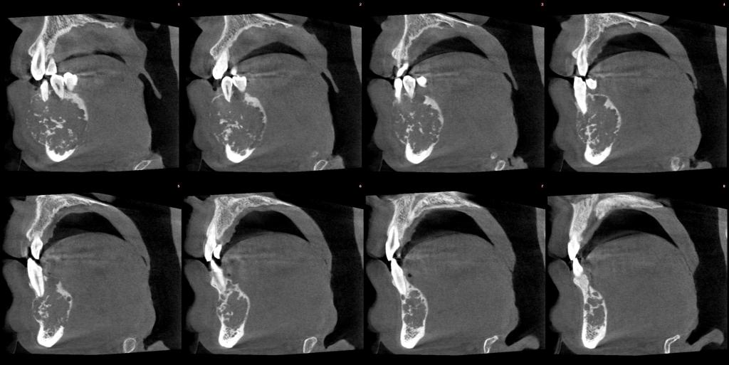
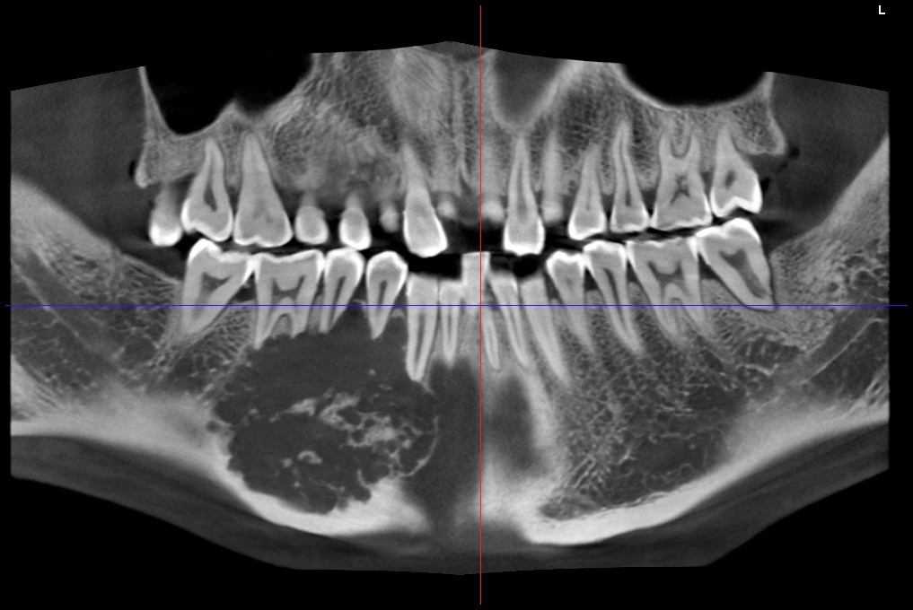
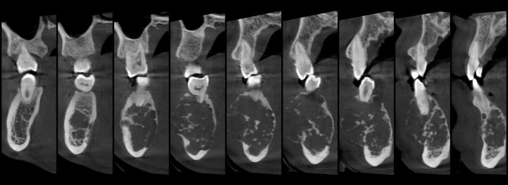
颅颌面CBCT









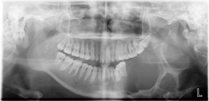
涎腺造影数字化曲面体层片涎腺造影数字化曲面体层片


诊断范围涉及牙体牙髓病、牙周病、阻生牙/多生牙定位、种植牙术前CT评估分析、颞下颌关节CT诊断分析、,颌骨及涎腺疾病、颌面发育畸形、正畸治疗辅助诊断等大部分颌面部疾病,为临床医疗提供强有力的支持。