一、基本情况
口腔修复科是taptap最早成立的科室之一,科室集医疗、科研、教学为一体,在省内居领先地位,具有雄厚的技术力量和先进的医疗设备,拥有一支专业技术强、职业素养高的医疗队伍。目前有医师10人,6人具有高级职称,2人具有中级职称,所有医师均具有博士学位或正在攻读博士学位,4人完成博士后科研工作。科室专科护士均有赴北京大学口腔医院学习的经历。
口腔修复科以不磨牙、少磨牙的安全和成熟修复技术为特色,开展各种美容修复、种植修复、活动修复、颌面缺损修复等项目,采用的修复方法和修复材料与国内外先进水平同步。科室设有微创美学修复、种植修复、数字化口腔修复、基于功能性颌位转移的咬合重建技术、吸附性全口义齿、夜磨牙、赝复体修复等特色专科。

口腔修复科始终坚持“以人为本,以患者为中心”的原则,以规范、严谨的治疗理念和态度诚心为广大患者提供优质、全面的口腔修复医疗服务,为患者恢复健康的口腔和自信的笑容。
二、业务范围
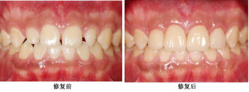
1. 牙齿微创美学修复:包括贴面(备牙瓷贴面及超薄瓷贴面)、嵌体等全瓷修复及树脂微创美学修复等;
2. 牙体缺损的牙冠修复:包括纤维桩修复、铸造金属桩及各种全瓷冠、烤瓷冠、金属冠等;
3. 种植修复:包括延期种植修复、即刻种植修复、全口种植修复等,开展了上颌窦内/外提升术、牙槽嵴骨增量术、位点保存术等手术;
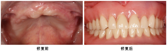
4.牙列缺损、缺失后的固定及活动义齿修复:包括固定桥、粘接桥、可摘局部义齿、全口义齿、附着体义齿等;
5.复杂疑难病例的联合修复:联合牙体牙髓科、牙周科、正畸科、口腔颌面外科等科室开展疑难病例的治疗。
三、专业特色
1.精细修复技术

显微镜、放大镜下进行牙体预备,保证预备体边缘的精确性。
通过精细印模,将预备体的边缘精确传递给技师,保证了修复体的边缘密合性。

2.微创修复技术
(1)应用树脂粘结剂将薄层全瓷贴面修复体固定于患牙唇面,以遮盖前牙唇面的变色、缺损。全瓷贴面颜色稳定、美观,不易着色,耐磨损、不易脱落,而且较全冠的磨牙量明显减少。


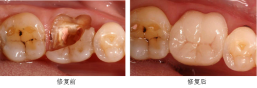
(2)嵌体修复
嵌体是一种嵌入牙体内部的修复体。与一般的充填体相比,嵌体可以更好地恢复牙体缺损牙齿的形态和功能。
根据制作嵌体材料的不同,可以分为合金嵌体、瓷嵌体和树脂嵌体等。
合金嵌体:制作嵌体的合金有金合金、镍铬合金等。金合金化学性能稳定、铸造精度高、有良好的机械性能,是制作后牙嵌体的理想材料。
瓷嵌体:具有天然牙的颜色和半透明性,美观性好。
树脂嵌体:制作嵌体的树脂是在技工室制作的硬质树脂,具有美观性好,硬度与牙本质近似,不易折裂等优点。


(3)树脂微创美容修复

利用现代粘接技术提供美观逼真的树脂修复,具有微创、就诊次数和时间少等特点。
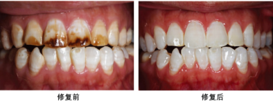
(4)渗透树脂及美白技术
对氟斑牙、四环素牙等变色牙进行无创美白。

3.数字化修复技术
(1)数字化印模技术
采用先进的口内数字化印模技术制取数字化印模,避免了印模材料取模的不适感,增加了印模精确性。

(2)数字化加工技术
利用CAD/CAM、3D打印等高新技术制作修复体。

4.种植修复技术
开展牙列缺损、牙列缺失的延期种植、即刻种植、ALL-on-4和ALL-on-6全口种植修复,上颌窦内/外提升术、牙槽嵴骨增量术、位点保存术等种植修复技术。采用的种植系统都是世界知名品牌。
(1)延期种植修复

(2)即刻种植修复

(3)全口种植修复

5.吸附性义齿

6.多学科联合修复
联合牙体牙髓科、牙周科、正畸科、口腔颌面外科等科室开展疑难病例的治疗。

科室联系电话:18182129703
科室微信公众号:
