一、单位简介
taptap,点点在线平台,点点登录入口口腔黏膜科是taptap最早建立的,以研究和治疗口腔黏膜疾病为主的单位之一。在湖南周边地区乃至全国享有盛誉,对各类口腔黏膜疾病的诊断和治疗都达到国内领先水平。
科室特色包括中西医结合治疗口腔黏膜下纤维性变、口腔溃疡、扁平苔藓、白斑、天疱疮、疱疹等各类口腔黏膜病;对口腔粘膜特殊感染、疑难病症的诊断也达国内先进水平;早期诊断和监测口腔癌前病变和口腔癌。科室引进甲苯胺蓝染色技术对癌前病变、癌前状态的诊断提供了新的思路;先进的水激光仪雾化治疗,大大提高了各种黏膜疾病的治疗效果。
科室规模全国领先,设施完备、环境温馨。口腔黏膜科始终坚持以患者为中心,不断追求新知、精益求精,竭诚为广大口腔黏膜病患者服务。
二、专科特色
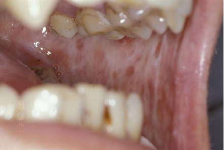
1、口腔粘膜下纤维性变(OSF)
口腔粘膜下纤维性变是一种慢性进行性疾病,与咀嚼槟榔等因素有关。在湖南及咀嚼槟榔地区发病率较高。是一种癌前状态,部分患者合并有口腔癌。主要表现为口腔黏膜灼痛、口干等自觉症状,及进行性张口受限、吞咽困难。
我科对口腔粘膜下纤维性变有丰富的治疗经验,对缓解粘膜灼痛及张口受限的治疗方法,收到了良好的疗效。已开展治疗如:去除致病因素、物理治疗、局部药物治疗、中西医结合治疗、手术治疗等。

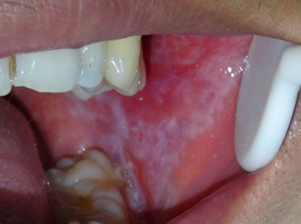
2、口腔扁平苔藓
扁平苔藓发病率高,是一种与多因素有关的疾病,多数患者没有症状,有些患者感觉粘膜粗糙,涩感,烧灼感,遇刺激性食物灼痛,糜烂型者疼痛明显,是一种癌前状态。
主要治疗为:去除局部刺激因素、局部药物治疗+全身免疫调节、中西医结合治疗。我科引进国外先进的水激光,大大提高了治疗效果。

3、白斑
白斑多见于中老年男性,主要症状表现为粗糙、木涩感,伴糜烂时可有刺激痛、自发痛。属于癌前病变。
早期发现、诊断、治疗非常重要,白斑的早期预防是重点,去除刺激因素,局部药物治疗,对有癌变倾向的部位及时手术并活检,定期复查。

4、天疱疮
天疱疮是一类严重的慢性的粘膜——皮肤自身免疫大疱性疾病,分为四型,其中寻常型天疱疮发生口腔粘膜损害最为多见。损害特点为口腔粘膜大疱,壁薄易破,出现不规则鲜红糜烂面,尼氏征阳性,可伴皮肤损害。患者主要自觉疱状处疼痛。
天疱疮治疗目的在于控制新发病损,促进愈合,防止及发感染,治疗的关键在于糖皮质激素免疫抑制剂的合理应用,防止各种并发症。
科室联系方式:18973131574